Servicios y especialidades

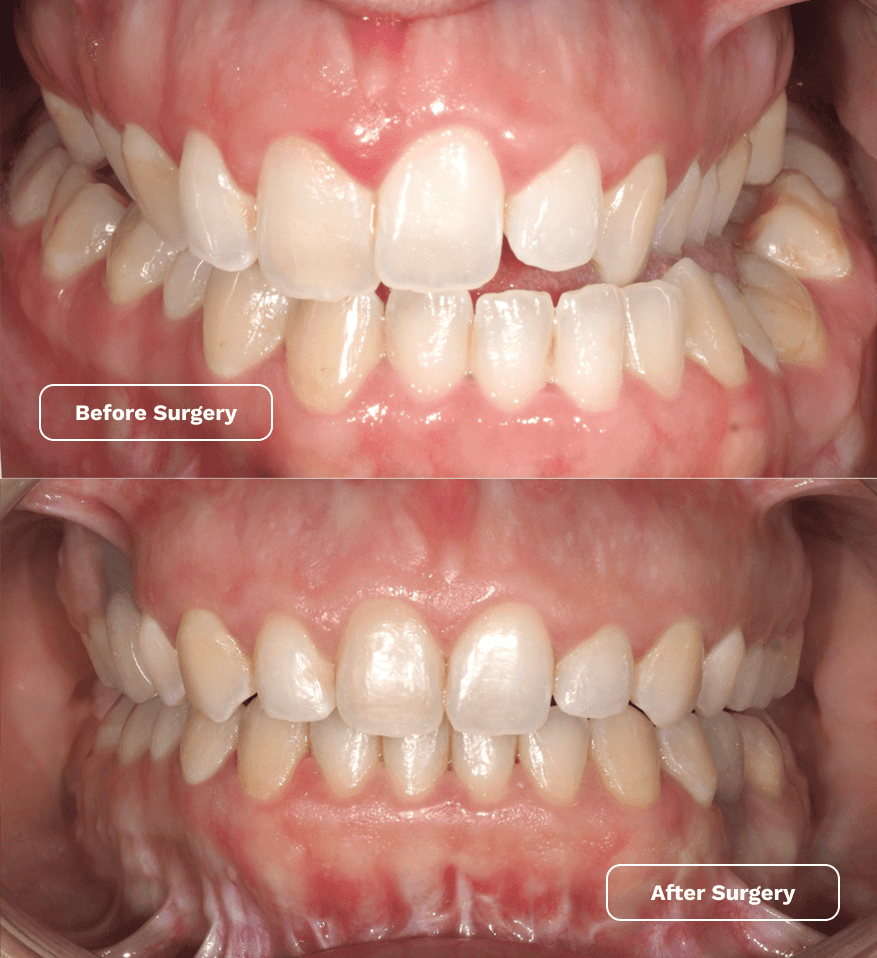
Cirugía ortognática

Corrección de anomalías dento-esqueléticas para mejorar mordida, función masticatoria y armonía facial.

Rinoplastia funcional y estética

Mejora la forma y función de la nariz, logrando armonía facial y bienestar.

Implantes dentales y rehabilitación oral

Recuperación de piezas dentales perdidas mediante implantes osteointegrados y prótesis personalizadas.

Patología oral y maxilar

Diagnóstico y tratamiento de lesiones benignas, quistes y tumores de la cavidad oral y los maxilares.

Traumatología facial

Atención especializada en fracturas y lesiones faciales producidas por accidentes o traumatismos.

Salud, función y estética al servicio de cada paciente

Ponte en contacto conmigo